Результати лікування
Реальні кейси наших пацієнтів. Фото до та після лікування.


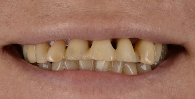
Повна двощелепна реабілітація на імплантатах
Олександр, 53 роки
Втрата зубів та кісткової тканини навколо зубів, в результаті захворювання ясен - парадонтиту. Порушення функції, естетики та якості життя.


Реабілітація при критичній втраті кісткової тканини
Пацієнт (направлений колегами)
Втрата великої кількості кісткової тканини


Негайна імплантація з тимчасовим протезуванням
Марина, 48 років
Дисколор зуба в естетично значущій зоні, наявність запального процесу, дискомфорт та виражений естетичний дефект.


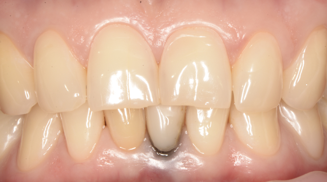
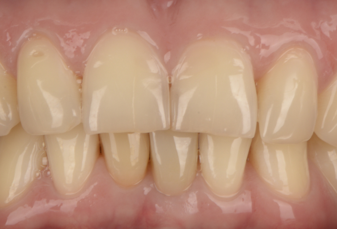
Складна негайна імплантація з кістковою пластикою
Олена, 30 років
Запальний процес у ділянці зуба внаслідок ускладненого карієсу та інфекції в кореневих каналах після перелікування. Значний дефект кісткової тканини з формуванням кістозного ураження та сполученням із гайморовою пазухою, що ускладнювало можливість негайної імплантації.


Навігаційна імплантація з кістковою та м'якотканинною пластикою
Жінка, 42 роки
Відсутність жувального зуба на нижній щелепі, виражена атрофія кісткової та м'яких тканин, порушення жувальної функції та естетики.


Тотальна реабілітація з функціональною діагностикою
Михайло, 50 років
Біль та запалення в ділянці зубів верхньої щелепи, часткова втрата зубів, виражена стираємість, порушення функції жування та дисбаланс у роботі зубощелепної системи.
Показано 1-6 з 28 кейсів